Page 10 - 西北内镜快讯9月刊
P. 10

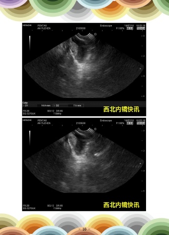
一例穿刺后血肿形成



                                                                                          患者男,66岁,因“胰头增大”就诊。超声内镜示:胰头占位并假囊肿形成并胰管
                                                                                       扩张















































                                     - 10 -                                                                        - 11 -
   5   6   7   8   9   10   11   12   13   14   15