Page 14 - 西北内镜快讯9月刊
P. 14

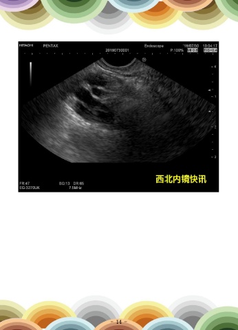
一例乳头及胆总管末端排石改变


                                                                                           患者男,59岁,因“全身皮肤巩膜黄染伴右上腹疼痛3周余”就诊。于当地医院行
                                                                                        CT示:肝内胆管轻度扩张,胆囊稍大。超声内镜示:胆囊结石并胆囊炎;乳头及胆总管
                                                                                        末端排石改变。患者在全麻下行腹腔镜胆总管切开取石术,胆囊切除术,手术顺利。















































                                     - 14 -                                                                        - 15 -
   9   10   11   12   13   14   15   16   17   18   19