Page 5 - 西北内镜快讯9月刊
P. 5

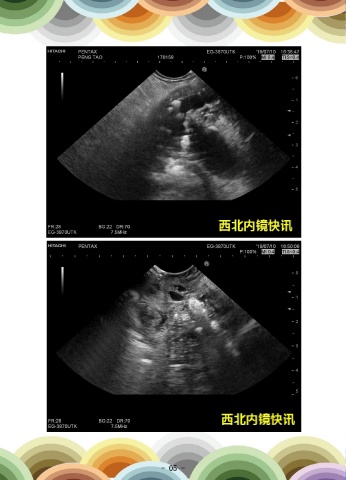
入院后行超声内镜示:胰腺体尾部实质萎缩,胰管增宽,约5mm,腔内多枚结石影,
        直径3-8mm,最大一枚嵌顿于胰头,见胰腺头部低回声增大,截面直径31x27mm,胆总
        管壁中段及下段增厚,最厚1.7mm,管腔狭窄,上段扩张明显,直径约1.2cm。换用十二
        指肠镜观察乳头,正常结构消失,表面糜烂渗血,活检质软。
















































                                     - 04 -                                                                        - 05 -
   1   2   3   4   5   6   7   8   9   10