Page 21 - 西北内镜快讯8月刊
P. 21

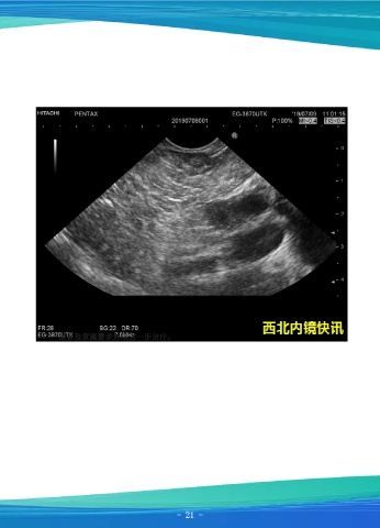
一例早期胰腺癌



           患者男,38岁,因“间断上腹痛半年”就诊,行上腹部CT检查示:主胰管扩张,胰

        腺实质萎缩,建议MR及MRCP进一步检查,肝小囊肿,肝右叶钙化灶。超声内镜示:慢
        性胰腺炎,胰腺假性囊肿。门静脉增强CT:门静脉略增宽,肝包膜下小脂肪瘤,胰腺多
        发囊性病灶,多囊胰?胰管扩张?胰腺MR检查:胰腺信号欠均匀,主胰管呈串珠样显著
        扩张,并胰尾部多发囊性灶,建议增强检查;腹膜后多发肿大淋巴结。
           于我院行超声内镜下行胰头占位穿刺活检。活检病理回报:高度怀疑神经内分泌肿
        瘤。















                                                                                           患者及家属要求外院进一步治疗。




















                                    - 20 - - 20 -                                                                  -  - 21 - 21 -
   16   17   18   19   20   21   22   23   24   25   26