Page 17 - 西北内镜快讯8月刊
P. 17

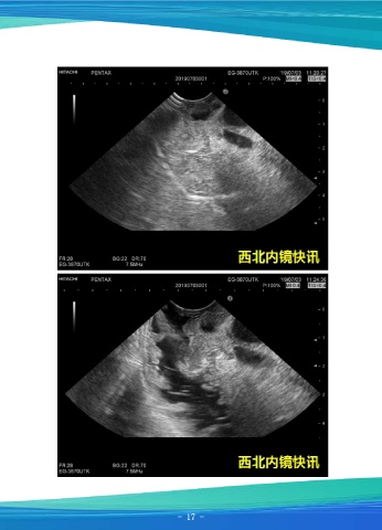
超声胃镜示:见胆总管明显扩张,最宽25mm,腔内未见异常,向下追踪,见胰管
        最宽5.6mm,胆胰管汇合处管壁明显增厚,延伸至乳头,呈低回声改变,乳头增大,截
        面直径14.7x6.6mm,换用十二指肠镜观察见乳头表面增生不平,血管呈树枝状改变,
        活检质软。活检病理提示:十二指肠乳头局灶癌变。患者在全麻下行胰十二指肠根治性
        切除术,手术顺利。














































                                    - 16 - - 16 -                                                                  -  - 17 - 17 -
   12   13   14   15   16   17   18   19   20   21   22