Page 27 - 西北内镜快讯8月刊
P. 27
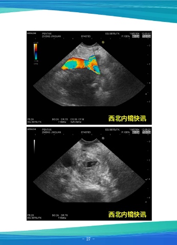
一例胰头占位
患者男,59岁,因“剑突下胀痛5天”就诊,5天前无明显诱因出现上腹部剑突下胀
痛不适,伴刷牙时恶心,与当地医院行腹部增强CT示:胰头部少血供病变,性质考虑为
胰腺癌导致梗阻性胆管扩张,包绕胰十二指肠动脉,十二指肠受侵可能,肝实质内多发
转移,腹膜后散在小淋巴结。于我院行超声内镜检查+穿刺活检,超声内镜示:胰腺钩突
低回声类圆形占位,十二指肠受压,无法通过,病变截面直径约3cm,血供不丰富,但
压迫侵犯肠系膜上静脉,病变质地硬,胰腺体尾部回声大致正常,胆总管未见,但见支
架回声,以25Gproco穿刺针反复穿刺病变,留取细胞及组织样本送检。细胞病理学诊
断示:找到少数癌疑细胞。
- 26 - - 26 - - - 27 - 27 -

